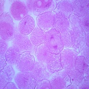
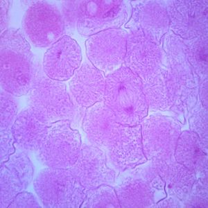
Fish Mitosis Slide, 7 m, H&E
Current Price
$18
Average
$17.1
Min Price
$16
Max Price
$18
Price dynamics
5%
Price will be lower
in next 2 weeks
in next 2 weeks
According to the data, price will be lower in next two weeks, so not waste your money and track better price!
Product review & video
we begin our microscope observations in interphase before the DNA has condensed into chromosomes when it is visible as chromatin the first stage of mitosis is prophase where the DNA condenses to form chromosomes however here in the upper left-hand corner we're seeing evidence of what's likely to be metaphase as the chromosomes are lined up along the equator however it could also be the beginnings of anaphase as we do see some separation beginning to occur here we are seeing clear evidence of metaphase where the chromosomes each existing and sister chromatids are lining up along the equator of the cell you you the center cell here is clearly going through anaphase where the sister chromatids are separated and moved to opposite poles of the cell this cell hair is in telophase where the chromosomes is uncoiled and the nuclear membrane is beginning to reform around them cytokinesis can take

